STE (Sound Touch Elastography)
STE (Sound Touch Elastography)
От 232 000 ₽*

STE (Sound Touch Elastography)

STE (Sound Touch Elastography)
STE (Sound Touch Elastography)
От Цена: 232 000 руб.
STE (Sound Touch Elastography)
STE (Sound Touch Elastography), 2
STE (Sound Touch Elastography), 3
STE (Sound Touch Elastography)
STE (Sound Touch Elastography), 2
STE (Sound Touch Elastography), 3
Арт.: M013934
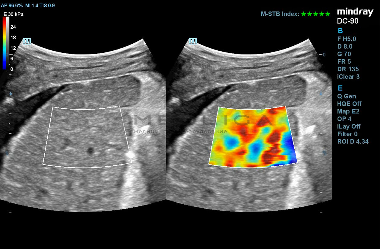
Программное обеспечение для оценки эластичности ткани методом эластографии сдвиговой волны (метод 2D-с формированием двухмерной цветовой эластограммы и количественной оценкой эластичности) на линейных и конвексных датчиках.
Награды Mindray
Официальный дистрибьютор Mindray
MEDLIGA - официальный дистрибьютор Mindray №1 в России
Сервисный центр Mindray
MEDLIGA - Золотой сервисный центр Mindray
Описание

STE интегрирована с эксклюзивной технологией Ultra-Wide Beam Tracking от Mindray для двумерной эластографии сдвиговой волной в реальном времени. Специализированные измерительные инструменты позволяют проводить количественный анализ модуля упругости с высокой точностью.

Опция работает:

  • на линейных датчиках
  • на конвексных датчиках
Характеристики
Область применения
  • Общая визуализация
От Цена: 232 000 руб.
Сервис
Лизинг
Гарантии
Преимущества