Дата публикации: 29.03.2021
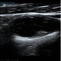
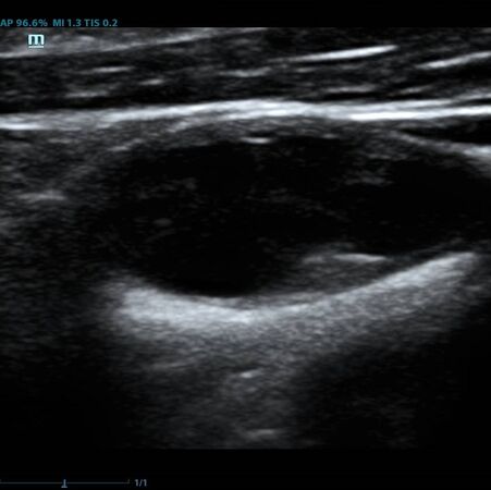
Помимо базовых целей по выявлению атеросклероза, бляшек, оценки кровотока и значимости стеноза, врачу ультразвуковой диагностики ставится и множество других задач при исследовании сонных артерий. Одна из них – оценка стабильности бляшки.
Ранее коллеги опирались на визуальную оценку, насколько бляшка гомогенная и какова её эхогенность. Есть ли в ней кальцинаты или анэхогенные участки. Для этого использовались международные классификации, с разделением среза бляшки по процентам – сколько гипер- и сколько гипоэхогенных зон. Такой метод оценки до сих пор весьма популярен, однако он имеет минусы. Основной его минус в субъективности. Тяжело на глаз сказать, на 49,9% своей площади бляшка эхогенна или же на 50,1%, да и глаз у каждого человека несколько разный. Один специалист скажет – тут больше 50% гипоэхогенного, другой, что менее. Таким образом, метод сильно зависит от оператора – специалиста ультразвуковой диагностики.
Современное решение – компьютерный анализ структуры бляшки. Ультразвуковая система экспертного класса Mindray DC-8 способна провести программный анализ полученного изображения бляшки и дать количественную оценку её структуры. Для этого используется показатель GSM – Grey Scale Median. Прибор рассчитывает медиану по показателям серой шкалы в выделенной зоне и выдает данные в виде графика распределения эхогенности и числовых данных для количественной оценки. Таким образом, исследование становится более объективным и воспроизводимым, снижается зависимость от оператора (человеческого фактора).
8 лет лидерства (2017-2024 г.)
* ежегодная аналитика компании Mindray
Сервисный центр удостоен награды Mindray “Gold Service Channel” по итогам 2020, 2022, 2023 и 2024 гг.
Только самое интересное на почту 2 раза в месяц!